急性肺损伤(ALI)及发展而来的急性呼吸窘迫综合征(ARDS),是重症监护室里让医生头疼的难题。多年来,医学界在 ALI/ARDS 治疗上不断探索,从最初对症支持,到后来肺保护性通气、俯卧位通气、激素、限制性液体管理等手段,虽有一定进展,但患者高死亡率、高致残率依然没得到根本改观。如今,一项新的研究为我们提供了答案,揭示了血浆中骨形态发生蛋白 10(BMP10)水平在肺炎相关急性呼吸衰竭患者中的重要价值。
导语:急性肺损伤(ALI)及发展而来的急性呼吸窘迫综合征(ARDS),是重症监护室里让医生头疼的难题。多年来,医学界在 ALI/ARDS 治疗上不断探索,从最初对症支持,到后来肺保护性通气、俯卧位通气、激素、限制性液体管理等手段,虽有一定进展,但患者高死亡率、高致残率依然没得到根本改观。如今,一项新的研究为我们提供了答案,揭示了血浆中骨形态发生蛋白 10(BMP10)水平在肺炎相关急性呼吸衰竭患者中的重要价值。
ALI/ARDS治疗困局待破BMP10崭露头角补缺
传统研究多聚焦肺泡上皮细胞,近年才意识到内皮功能障碍才是 ALI/ARDS 进展的关键推手,可这一领域研究仍处于起步阶段,缺乏深入且有效的干预靶点。2025 年 6 月,Journal of Translational Medicine上一盘题为 “Bone morphogenetic protein 10 serves as a biomarker and a potential therapeutic target for endothelial dysfunction in endotoxin - induced acute lung injury” 的文章将目光锁定在BMP10这一在心血管发育、细胞增殖、内皮稳态维持及抑制内皮凋亡方面有卓越功效的因子上。
小鼠人体细胞三线并进
BMP10 的 ALI 救济之道
本研究是一项综合性试验,旨在全面剖析 BMP10 在内毒素诱导的 ALI 中的作用机制与应用潜能。在动物实验板块,选取 6 至 8 周龄雄性 C57BL/6 小鼠,经气管滴注脂多糖(LPS)构建 ALI 模型,同时设置多组对照,包括仅给予磷酸盐缓冲液(PBS)的小鼠,共分为单纯 PBS 组、LPS 模型组、LPS + BMP10 治疗组、PBS + BMP10 对照组,每组 12 只。在给予 LPS 2 小时后,治疗组小鼠腹腔注射BMP10(1.0μg),其余相应处理,24 小时后收集样本进行后续分析。体外实验则采用人肺微血管内皮细胞(HPMECs),模拟 LPS 诱导的内皮功能障碍,观察 BMP10 预处理对细胞的影响。同时,为印证临床关联性,在人体层面纳入 13 名健康受试者与 25 名重症肺炎相关急性呼吸衰竭(ARF)患者,采集患者入院初期及后续血液样本,用酶联免疫吸附试验(ELISA)测定血浆 BMP10 水平。主要评价指标为肺组织病理损伤程度、肺通透性、细胞凋亡情况、相关蛋白表达,以及 HPMECs 的蛋白表达变化、细胞凋亡率等;次要指标涵盖血浆中炎症因子水平、BMP10 水平与患者临床结局的关联性等。
BMP10 多维度改善 ALI机制与疗效并显
小鼠肺组织病理改善显著,BMP10 缓解肺损伤效果明确
研究团队在动物实验中取得关键成果,经苏木精 - 伊红(H&E)染色观察,LPS 组小鼠肺泡间隔显著增厚,炎性细胞广泛浸润,肺泡结构近乎崩坏,肺损伤评分显著增加。而 BMP10 治疗组小鼠,其肺损伤评分显著降低(p < 0.05),肺泡间隔明显变窄,炎性细胞浸润大幅减少,肺泡形态渐趋正常(图1)。这表明 BMP10 能精准靶向肺组织病理变化,有效缓解 LPS 诱导的急性肺损伤,为后续探索其作用机制奠定坚实基础。
.jpg)
图1 LPS与BMP10给药后肺切片H&E染色
肺通透性及内皮功能改善,BMP10 稳固肺内环境
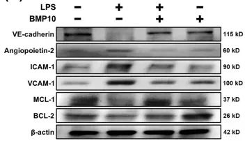
透射电子显微镜(TEM)下,LPS 组小鼠肺内皮细胞膜破损、间隙水肿,肺泡灌洗液(BALF)总蛋白量显著增加(图2A)。BMP10 治疗后,肺内皮细胞膜重归完整,水肿消退,BALF 总蛋白量显著降低。免疫组化染色显示(图2B),LPS 抑制 VE - 钙黏蛋白表达,BMP10 治疗精准逆转这一改变。同时,BMP10 调控 ICAM - 1、VCAM - 1、血管生成素 - 2 表达,让紊乱的内皮细胞黏附与血管生成相关蛋白重归平衡,稳固肺内环境,减少液体渗漏与炎症细胞异常黏附。
.jpg)
BMP10 改善 LPS 诱导的小鼠急性肺损伤与炎症反应; B. 肺 VE-钙粘蛋白表达的定量 IHC 分析。 图2 BMP10 显著缓解 LPS 诱导的急性肺损伤与炎症反应, 小鼠肺组织结构与炎症指标同步改善
阻抑细胞凋亡,BMP10 延缓肺损伤进展
TUNEL 染色标记发现,LPS 组肺组织凋亡细胞占比显著增加,BMP10 治疗组凋亡细胞占比显著减少。免疫荧光染色显示(图3),抗凋亡蛋白 MCL - 1 在 LPS 组表达显著降低,BMP10 治疗后回升。这凸显 BMP10 通过精准调控细胞凋亡相关蛋白表达,减少肺组织细胞凋亡,延缓肺损伤进展,为患者肺功能恢复争取关键时间窗。进一步研究发现LPS 组小鼠肺组织内 pSmad1/5/8 表达量显著降低,BMP10 治疗后回升。这明确 BMP10 依经典信号通路调控蛋白表达,从根源上改善内皮细胞功能。
.jpg)
图3. BMP10 抑制 LPS 诱导的小鼠肺组织内皮功能障碍与细胞凋亡。
人体样本检测关键发现,BMP10 预测死亡风险
人体样本检测发现,肺炎相关 ARF 患者血浆 BMP10 浓度显著高于健康人群。更关键的是,院内死亡患者在入院当天及次日的血浆 BMP10 水平显著高于幸存者(图4)。这一发现明确 BMP10 是预测死亡风险的潜在生物标志物,为临床早期风险评估、干预时机把握提供关键依据。

A.入组当日(Day 0)血浆 BMP10 水平在死亡患者中显著高于存活患者(*p = 0.0226); B.入组后第 2 天(Day 2)血浆 BMP10 水平在死亡患者中进一步升高,差异更为显著(*p = 0.0077)。图4 血浆 BMP10 水平在肺炎相关急性呼吸衰竭患者中的动态变化及预后意义
如此详尽且逻辑清晰的结果呈现,充分彰显 BMP10 在 ALI 多层次病变中的关键作用,从细胞、分子到整体动物,再到临床样本,环环相扣,夯实其作为治疗靶点与生物标志物的转化前景。
总结
这篇文章聚焦 BMP10,在 ALI/ARDS 领域深入钻研,贡献突出且意义非凡。它一改过往研究单纯关注肺泡上皮细胞的局限,直击内皮功能障碍这一 ALI/ARDS 核心环节,不仅在动物模型、细胞实验中证实 BMP10 对 LPS 诱导肺损伤的改善作用,还于临床样本中揭示其生物标志物潜力。从机制层面,明确 BMP10 依经典信号通路调控蛋白表达、抑制细胞凋亡,为后续研发靶向内皮功能障碍的药物指明方向.
参考文献
YU WK, CHEN WC, SHEN HC, et al. Bone morphogenetic protein 10 serves as a biomarker and a potential therapeutic target for endothelial dysfunction in endotoxin-induced acute lung injury[J].Transl Med. 2025;23(1):755. Published 2025 Jul 8. doi:10.1186/s12967-025-06742-6
copyright©医学论坛网 版权所有,未经许可不得复制、转载或镜像
京ICP证120392号 京公网安备110105007198 京ICP备10215607号-1 (京)网药械信息备字(2022)第00160号